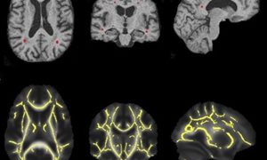
Cerebral Small Vessel Disease (SVD) is een verzamelnaam voor problemen in de kleine bloedvaten in de hersenen. Hierdoor ontstaan bijvoorbeeld hele kleine bloedingen of herseninfarcten. De slechtere doorbloeding beschadigt hersenweefsel en vermindert de functie van de hersenen. Hierdoor ontstaat een risico op dementie.        
Cerebral Small Vessel Disease (SVD) is een verzamelnaam voor problemen in de kleine bloedvaten in de hersenen. Hierdoor ontstaan bijvoorbeeld hele kleine bloedingen of herseninfarcten. De slechtere doorbloeding beschadigt hersenweefsel en vermindert de functie van de hersenen. Hierdoor ontstaat een risico op dementie. Arts-onderzoeker Inge van Uden wilde weten welke patiënten met SVD een hoger risico hebben en volgde ruim 500 ouderen met SVD in de periode van 2006 tot 2015. Bij aanvang van de studie had geen van de deelnemers dementie. Gedurende de onderzoeksperiode volgde zij met de MRI-scanner de gevolgen van SVD in het brein.
Groter risico
In de eerste vijf jaar van het onderzoek ontwikkelde een deel van de proefpersonen dementie. Het bleek dat de patiënten die bij aanvang van de studie een verkleinde hippocampus en minder witte hersenstof hadden 50 procent meer kans hadden om in die periode dement te worden. Bij patiënten van wie de hippocampus nog goed van formaat was, maar waarvan de kwaliteit van de verbindingen verlaagd was, was het risico op dementie zelfs twee tot drie keer hoger. De MRI geeft dus een beter beeld van het risico op dementie dan alleen de aanwezigheid van SVD.
Depressie
Als mensen op latere leeftijd voor het eerst in hun leven depressieve klachten krijgen, is dat een vroeg signaal voor dementie. Inge van Uden zag dit effect ook terug in haar onderzoekspopulatie, onafhankelijk van de ernst van de SVD. Patiënten met depressieve klachten op hogere leeftijd hadden minder goede hersenverbindingen in de prefrontale cortex, het hersengebied dat een rol speelt in het reguleren van gedrag en stemming. Opvallend was dat dit effect het sterkst was bij mensen die cognitief goed functioneerden. Inge van Uden: “Misschien vormt een laag cognitief vermogen op zich al een sterk risico op dementie, waardoor het aanvullende effect van depressieve symptomen beperkt is.”
Vroeg behandelen
Van Uden: “Het zou mooi zijn als mensen bij de eerste geheugenklachten beter antwoord kunnen krijgen op de vraag ‘word ik dement?’. Zolang er geen behandeling voor dementie is, geven cognitieve testen inzicht in de actuele situatie. Om patiënten en hun omgeving goed te kunnen begeleiden is het belangrijk om mensen met een hoger risico regelmatig te controleren. Zodra er een behandeling is die het ziekteproces kan vertragen of zelfs stoppen, wordt MRI-onderzoek erg zinvol om hoog risicopatiënten eerder op het spoor te komen. Wanneer je deze mensen in een vroeg stadium identificeert, kun je meteen gaan behandelen, hopelijk voordat er veel onomkeerbare schade is ontstaan.”
Inge van Uden voerde haar onderzoek uit binnen het RUN DMC project (Radboud University Nijmegen, Diffusion Magnetic Cohort studie), mede gesubsidieerd door MIRA (Universiteit Twente) en ZonMw.
- 
                
Meer weten over deze onderwerpen? Klik dan via onderstaande buttons door naar meer nieuws.
 
Meer nieuws

Artificiële Intelligentie voor betere preventie van dementie AI-Mind project ontwikkelt platform voor snelle, vroege diagnostiek
23 februari 2021 Het internationale AI-Mind project, waaraan ook het Radboudumc deelneemt, gaat slimme digitale instrumenten ontwikkelen om hersenverbindingen te screenen en het risico op dementie in te schatten bij mensen met milde cognitieve problemen. naar pagina



